Book an Appointment
Skip to content

Scaling & Polishing

Scaling & Polishing_Img

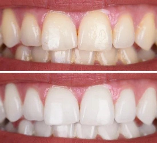
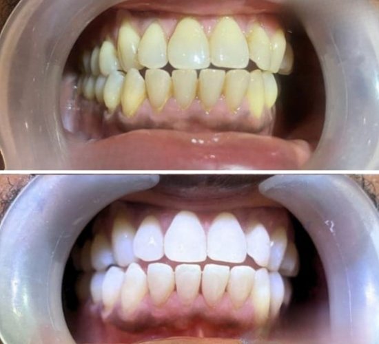
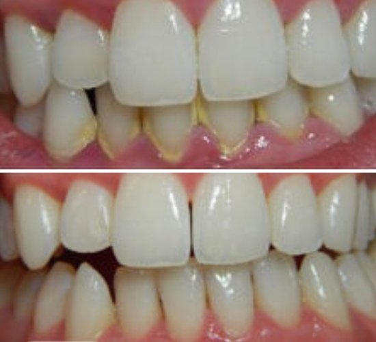
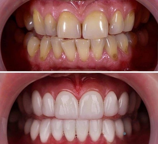
Scaling & Polishing is one of the most crucial dental processes, playing a significant role in maintaining healthy, clean teeth and gums. However, over time, dental plaque and tartar can form on teeth, leading to gum problems, bad breath, and cavities if left untreated. Teeth cleaning in Al Nahda removes tartar and dental plaque from your teeth.

Our dental cleaning in Al Nahda Dubai combines scaling, which removes hardened dental plaque, and polishing, which ensures a smooth tooth surface to prevent future buildup. At STEPS, dental cleaning is a precise process to ensure effectiveness. Regular scaling and polishing not only make your teeth look healthy but are also necessary to prevent gum disease. Scaling and polishing are performed every 6 months, regardless of your age, as they are essential dental care procedures.

Benefits of Scaling & Polishing

Plaques and tartar are removed
Assist in the prevention of gum diseases
It would help freshen breath
Leaves teeth smooth and clean
Promotes good oral hygiene

Scaling & Polishing at STEPS Aesthetic Clinic will help you preserve a healthy smile.

Steps WPForm Modal
×
Consultation

We Are Here To Answer
All Your Questions

Fluoride Therapy_Pic (2)

Before & After Gallery

 Schedule Your Appointment Today

hydrafacial pic_6
Quick Links

Home


About

Contact Us